직장암 폐 전이, 꼭 알아야 할 증상·진단·치료 방법
직장암은 대장암의 한 종류로, 항문과 가까운 직장 부위에서 발생하는 악성 종양입니다. 직장암은 조기 발견 시 완치율이 높지만, 진행될 경우 혈류나 림프계를 통해 다른 장기로 퍼질 수 있습니다. 이를 전이라고 하며, 대표적으로 간과 폐에 전이가 잘 발생합니다. 특히 폐 전이는 직장암 환자에서 간 전이 다음으로 흔하게 나타나는 중요한 합병증입니다.
직장암 폐 전이란 무엇인가?
직장암 폐 전이는 직장에서 발생한 암세포가 혈관을 통해 폐로 이동하여 새로운 종양을 형성한 상태를 말합니다. 초기에는 별다른 증상이 없어 건강검진이나 정기 추적검사에서 우연히 발견되는 경우가 많습니다. 그러나 병이 진행되면 폐 기능 저하로 인해 다양한 호흡기 증상이 나타날 수 있습니다.
직장암 폐 전이의 주요 증상
직장암이 폐로 전이되면 다음과 같은 증상이 발생할 수 있습니다.
- 무증상: 작은 결절 형태일 때는 대부분 특별한 증상이 없음
- 만성 기침: 폐에 자리 잡은 종양이 기관지를 자극
- 혈액 섞인 가래: 전이가 진행되면 혈담이 나올 수 있음
- 호흡곤란: 병변이 커지거나 다발성일 경우 숨이 차는 증상 발생
- 흉통: 흉막 침범 시 흉부 통증 동반
이러한 증상은 다른 폐질환과도 비슷하기 때문에, 직장암 환자라면 주기적인 영상검사가 매우 중요합니다.
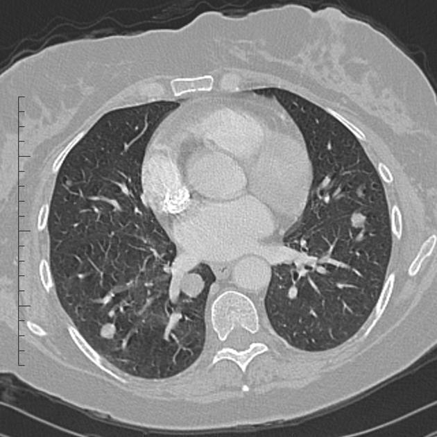
직장암 폐 전이 진단 방법
- 흉부 X-ray: 기본 검사지만 작은 병변은 놓칠 수 있음
- 흉부 CT: 폐 전이를 가장 정확하게 확인할 수 있는 검사
- PET-CT: 대사활동이 높은 암세포를 찾아내 전신 전이 여부 확인 가능
- 조직검사: 필요 시 폐 병변에서 조직을 채취해 최종 확진
정확한 진단은 환자의 치료 전략을 세우는 데 필수적입니다.

직장암 폐 전이 치료 방법
치료는 전이의 개수, 위치, 환자의 전신 상태에 따라 달라집니다.
1. 수술적 절제
- 폐에 국한된 전이가 소수일 때 수술로 종양을 제거합니다.
- 완전 절제가 가능하다면 장기 생존율이 크게 향상됩니다.
2. 항암치료
- 다발성 전이 또는 수술 불가능한 경우 시행됩니다.
- FOLFOX, FOLFIRI, CAPOX와 같은 표준 항암요법이 사용되며, 표적치료제인 베바시주맙, 세툭시맙 등을 병용할 수 있습니다.
3. 방사선 치료
- 증상 완화 목적(기침, 통증, 혈담 등)으로 시행
- 일부 국소 병변에는 정위적 방사선치료(SBRT*로 효과적인 결과를 기대할 수 있습니다.
4. 국소치료
- 고주파 열치료(RFA) 또는 스테레오택틱 방사선수술을 통해 비수술적 치료가 가능합니다.
직장암 폐 전이의 예후
직장암이 폐로 전이되었다고 해서 반드시 예후가 나쁜 것은 아닙니다.
- 폐에만 국한되고 완전 절제가 가능할 경우 5년 생존율은 30~50%로 보고됩니다.
- 그러나 간과 폐에 동시 전이가 있거나, 병변이 다발성일 경우 예후가 불량하며 항암치료 중심으로 관리하게 됩니다.
직장암 폐 전이 관리와 추적검사
- CEA 수치 측정: 직장암 재발과 전이를 추적하는 중요한 종양표지자
- 정기 CT 검사: 3~6개월 간격으로 시행하여 조기 발견
- 생활습관 관리: 금연, 균형 잡힌 식단, 규칙적 운동, 스트레스 관리가 필요
- 다학제 진료: 외과, 종양내과, 방사선종양학과 등 협진을 통한 맞춤 치료
결론
직장암 폐 전이는 직장암 환자에게 흔히 발생할 수 있는 전이 형태 중 하나로, 조기 발견과 맞춤 치료가 환자의 생존율과 삶의 질을 결정짓습니다. 정기적인 검사와 철저한 추적관찰이 필요하며, 수술, 항암치료, 표적치료, 방사선치료 등 다양한 방법이 환자 상태에 따라 선택됩니다.
💡 정리: 직장암 환자라면 정기적으로 흉부 CT와 CEA 수치 검사를 받아야 하며, 폐 전이가 발견되더라도 적극적인 치료 전략을 통해 장기 생존이 가능하다는 점을 기억해야 합니다.