건강정보
직장암 방광 전이: 원인, 증상, 진단과 치료 방법
ego-ref
2025. 8. 19. 14:32
반응형
직장암은 대장암의 한 유형으로, 직장에 발생한 악성 종양을 말합니다. 암이 진행되면 혈액이나 림프관을 통해 다른 장기로 전이할 수 있는데, 대표적인 전이 부위가 간, 폐, 뼈입니다. 그러나 방광(bladder)으로의 전이는 상대적으로 드물지만 임상적으로 매우 중요합니다.
1. 직장암 방광 전이의 원인과 기전
직장과 방광은 해부학적으로 가까운 위치에 있습니다. 특히 남성의 경우 직장 앞쪽이 바로 방광과 인접해 있고, 여성은 자궁을 사이에 두고 연결됩니다. 따라서 직장암이 직접 침윤(direct invasion) 하거나 림프 전이를 통해 방광으로 퍼질 수 있습니다.
- 직접 침윤: 직장벽을 뚫고 주변 장기인 방광벽까지 암세포가 퍼짐
- 림프관 전이: 골반 림프절을 따라 방광으로 전이
- 혈행성 전이: 드물지만 혈액을 통해 전이되기도 함
2. 주요 증상
방광으로 직장암이 전이되면 다양한 비뇨기계 증상이 나타납니다.
- 혈뇨(hematuria): 소변에 피가 섞여 나옴
- 빈뇨, 절박뇨: 자주 소변이 마렵거나 참기 어려움
- 배뇨통: 소변을 볼 때 통증
- 소변 줄기 약화: 방광 기능 저하
- 반복되는 방광염 증상: 항생제 치료에도 잘 낫지 않는 경우 전이 가능성 고려
또한 전신 증상으로 체중 감소, 극심한 피로, 통증이 동반될 수 있습니다.
3. 진단 방법
방광 전이가 의심될 때는 아래와 같은 검사를 통해 확진합니다.
- 영상검사
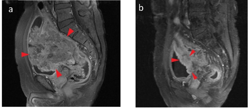
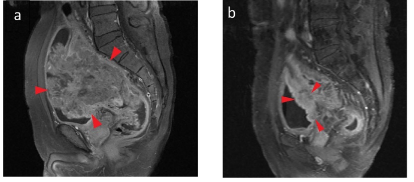
- CT, MRI: 직장암이 방광으로 침범했는지 여부 확인
- PET-CT: 전신 전이 여부 평가
- 방광경 검사(cystoscopy)
- 내시경을 통해 방광 내부를 직접 관찰
- 암세포 의심 부위에서 조직검사(생검) 시행

출처 : ResearchGate
- 소변 세포검사
- 소변 속에서 암세포 유무 확인
- CEA 수치
- 직장암의 종양표지자로, 상승 시 전이 가능성 시사
4. 치료 방법
방광 전이 직장암은 진행성 4기(IV기) 암에 해당합니다. 따라서 완치 목적보다는 암의 진행 억제와 증상 완화가 주 치료 목표입니다.
- 수술적 치료
- 직장과 방광을 함께 절제하는 전방골반내장절제술(Total Pelvic Exenteration)
- 일부에서는 방광 부분절제술 시행 가능
- 그러나 수술 범위가 크고 합병증 위험이 높음
- 항암치료
- FOLFOX, FOLFIRI, CAPOX 같은 표준 항암요법
- 표적치료제(베바시주맙, 세툭시맙 등) 병용 가능
- 방사선치료
- 통증이나 혈뇨 완화 목적의 국소 치료
- 수술 불가 환자에게 보조적으로 사용
- 대증요법(palliative care)
- 요관 스텐트 삽입 → 소변 배출 도움
- 혈뇨, 통증 조절 위한 치료
5. 예후
방광 전이가 발생한 경우는 이미 진행성 직장암으로, 예후는 비교적 불량합니다.
- 평균 생존율은 전신 전이 범위, 환자 나이, 전신 건강 상태에 따라 다르지만, 적극적 치료 시 수년간 생존 가능한 경우도 보고되고 있습니다.
- 최근에는 면역항암제, 표적치료제가 일부 환자에서 효과를 보여 새로운 치료 가능성을 열고 있습니다.
6. 결론
직장암의 방광 전이는 흔하지 않지만, 발생 시 환자의 배뇨 기능과 삶의 질에 큰 영향을 미칩니다. 따라서 직장암 수술 이후에도 정기적인 영상검사와 종양표지자 검사(CEA) 를 통해 전이를 조기에 발견하는 것이 중요합니다. 또한 치료는 환자의 상태와 암의 진행 정도를 고려해 맞춤형으로 결정되어야 합니다.
반응형